
Qué es la ortodoncia
Es una de las ramas de la odontología que se enfoca en el estudio de la posición de los dientes, diagnóstico y prevención de problemas de inclinación y armonía dentomaxilofacial. Es un tratamiento no invasivo que tiene finalidades prácticas, como lograr una mordida equilibrada gracias a tener los dientes realineados, y también estética, ya que una dentadura bien alineada y compensada ofrece una sonrisa más agradable, lo que también repercute en la autoestima del paciente.
Existen muchos factores por los cuales puede existir la mala posición dental o maxilar. La ortodoncia es el tratamiento ideal para corregir estos casos corrector ya que nos permite reajustar la dentadura y corregir la posición de los dientes, con el fin de alinear todas las piezas dentales, que estén rectas y así poder prever posibles problemas en la dentadura y las encías, mejorando también la mordida . La ortodoncia ha pasado de ser el típico tratamiento dental para niños a un tratamiento muy común en personas de todas las edades. Una de sus razones es que gracias a los avances de la ciencia y tecnología ha pasado a ser relativamente cómodo y mucho más corto, llegando a ser incluso, estético.
El tratamiento consiste en la colocación de varias piezas de manera temporal, llamadas brackets unidas por un arco metálico que aplica tensión a los backets a la hora de unirlos y ajustarlos según sea el caso, esta presión aplicada a la dentadura hace que se comience a mover la posición de los dientes y por consiguiente se va ajustando la mordida. Los brackets suelen ser metálicos, aunque también pueden ser de zafiro e incluso, gracias a los avances tecnológicos ahora es posible realizar ortodoncia invisible con materiales resistentes, más cómodos y transparentes.
Existen diversos tipos:
Una dentadura alineada y sonrisa agradable puede lograrse gracias a un buen tratamiento de ortodoncia. Su precio es de acuerdo al tipo de tratamiento, ya sea por brackets metálicos, invisible o lingual. En México, el precio medio suele ser de alrededor de $6,800 pesos. Para conocer el desglose por ciudades, visita nuestra página de precios de ortodoncia.

Imagen de Dental Health Implant Center
Es un tratamiento adecuado para aquellos pacientes con:
Smile Makeover Playa del Carmen recomienda siempre una evaluación con un profesional en caso de existir problemas de alineación dental por muy menor que parezca ya que puede que existan problemas más profundos.
Este tratamiento se suele usar a temprana edad, especialmente en la adolescencia, aunque tanto adultos como niños pueden beneficiarse del tratamiento.
La ortodoncia necesita una encía sana para poder tener el efecto deseado. Asimismo, pacientes con gingivitis, u otros problemas bucales como infecciones o afecciones, no son elegibles para un tratamiento de este tipo. Pero, un ortodoncista es la persona más calificada para emitir una opinión con certeza ya que cada caso es diferente.

Imagen de Smile Makeover Playa del Carmen
Es importante poder afrontar un tratamiento que se puede alargar hasta varios años con un odontólogo de confianza, así que es importante poder asegurarnos de sus conocimientos y experiencia, por lo que intentar conseguir referencias es siempre muy aconsejable.
Si no tenemos un especialista de confianza, conviene dedicar tiempo y paciencia a poder encontrar al dentista adecuado, y asegurarnos que está especializado en área, particularmente en el tipo de ortodoncia adecuado para nuestro caso.
Una vez decidido el lugar o especialista para hacer el tratamiento es muy importante entablar una conversación con el profesional que nos atenderá y no quedarnos con dudas por muy simples que parezcan, el especialista dental siempre debe de responder todo y sobre todo siempre debe de dar una atención cordial y clara.

Primera cita con el ortodoncista
La primera visita tiene un carácter exploratorio para el especialista, que examina el estado de la dentadura y de las encías y elabora un primer diagnóstico del estado de la cavidad bucal.
Comúnmente en esta primera visita se realizan exploraciones de la cavidad bucaldel paciente como radiografías, fotografías y moldes de la boca, que se usan para diseñar las férulas.
En esta primera sesión se explicará al paciente qué tipo de tratamiento se seguirá y cómo se le implantará en la boca.

Imagen de Smile Makeover Playa del Carmen
No es necesaria una exhaustiva preparación para este tratamiento. Una vez realizada la primera visita y reconocido el estado de la cavidad bucal, tan solo es necesario realizar una limpieza bucal previamente al inicio del tratamiento. En el caso de haber encontrado caries en las visitas previas, deberán estar empastadas para el comienzo del tratamiento.
Asimismo, en el caso de tener crecidas las muelas del juicio, o algunas de ellas, es posible que sea necesaria su extracción, ya que pueden causar molestias y estorbar durante el tratamiento. No siempre es necesaria la extracción, ya que en ocasiones puede llegar a ser peligroso si la muela invade algún nervio, generalmente si el ortodoncista cree conveniente la intervención de un maxilofacial, él podría comentarlo.

Imagen de Dr. Carlos Veleyra
Los brackets se implantan en una única sesión de forma sencilla; el ortodoncista coloca boqueras al paciente, posteriormente microporiza la dentadura con acondicionador. En ese momento se colocan los adhesivos y la resina polimerizable sobre los dientes, para colocar las piezas de los brackets y que se fijen sobre los dientes. Posteriormente se colocan el arco de alambre y las ligaduras y se tensan, uniendo las piezas, ejerciendo presión sobre los dientes para corregir la posición.
El ortodoncista realiza revisiones periódicas, reajustando las ligaduras y los brackets, tensando y apretando cada vez más para seguir forzando la corrección de la posición de la dentadura. Es importante mantener una buena higiene bucal en todo momento, ya que esto ayudará a evitar formación de caries y placa, causas frecuentes para aplazar el tiempo de tratamiento.

Imagen de Smile Makeover Playa del Carmen
El tratamiento ofrece muchas ventajas:

Cómo es su recuperación
No hay ninguna recuperación del tratamiento. En los primeros días después de la inserción de los brackets puede haber molestias en las encías, por la presión ejercida por los brackets y la tensión de las ligaduras, pero la adaptación es rápida. Puede pasar algo parecido cada vez que se reajusten los brackets.

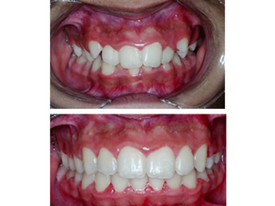
Cómo son los resultados
Los resultados de la ortodoncia son duraderos. La permanencia del tratamiento durante un período de tiempo determinado permite que los dientes se fijen en la posición ideal para cada paciente, aunque es posible usar unos retenedores en la parte posterior de la dentadura durante un tiempo prolongado para garantizar el resultado deseado y evitar que los dientes vuelvan a su posición anterior.
Hay pocos efectos secundarios de la ortodoncia, y no son graves:
Mayo Clinic. Aparatos de ortodoncia, 13 Marzo 2019.